小切口解决大问题
新利备用网骨科二区成功开展UBE新技术,治疗高度脱出游离腰椎间盘突出症
近日,新利备用网骨科二区团队在中南大学湘雅三医院苗惊雷教授的指导下,成功为一名L5/S1椎间盘巨大脱出并高度游离患者实施“单侧双通道内镜技术(UBE)”,将衡南县人民医院脊柱内镜技术推向更高水平。

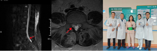
术前影像资料显示L5/S1巨大脱出椎间盘并向近端高度游离
患者阳某某,女,50岁,因反复腰部疼痛7年加重,并右下肢疼痛麻木半月到新利备用网就诊。骨科二区主任陈轼接诊了患者,门诊MRI检查发现阳女士为典型L5/S1巨大椎间盘脱出并压迫神经根,保守治疗无效,建议手术治疗。苗惊雷教授与县医院骨科二区专家团队为阳女士量身定制了无需内固定、创伤更小的UBE微创手术方案。术中通过两个7mm的切口,精准摘除脱出髓核,彻底解除神经压迫。术后次日,阳女士下肢症状显著缓解,已可自主下床活动。

术中图片显示,切口7mm,仅需缝合1针

术后复查MRI显示脱出椎间盘完全摘除,
神经松解彻底,患者术后恢复良好
UBE(Unilateral Biportal Endoscopy,单侧双通道内镜技术)是近年来国际脊柱外科领域的创新微创术式。其通过建立两个独立通道(一个用于高清内镜观察,另一个用于精细器械操作),既能实现传统开放手术的视野和操作自由度,又最大限度减少肌肉剥离和骨质破坏。相较于传统手术,UBE具有三大优势:
1.创伤小?:切口仅铅笔粗细,出血量一般不超过20毫升;
2.恢复快?:术后次日即可下床,住院时间缩短至5-7天
3.适应广?:尤其适合椎间盘脱出、椎管狭窄等复杂病例,且无需植入耗材,大幅降低费用。
此次UBE手术的成功开展,得益于该院与中南大学湘雅三医院建立的专科合作联盟。骨科二区主任陈轼表示:"UBE技术融合了传统开放手术与单通道内镜的优势,是脊柱微创领域的重大突破。医院将持续引进前沿技术,让患者在家门口就能享受省级优质医疗资源。每周一至周三都有中南大学湘雅三医院专家在县人民医院坐诊,切实解决患者‘看专家难’的问题。”

