近日,新利备用网骨科二区专家团队在中南大学湘雅三医院苗惊雷教授的指导下,成功为一名70岁高位脊髓型颈椎病患者实施了颈前路椎间盘切除术+椎管扩大减压术+植骨融合内固定术,手术的成功标志着医院脊柱外科技术迈上新台阶,填补了医院高位颈椎复杂手术领域的空白。




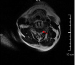
术前影像资料显示C3/C4椎间盘突出、极重度颈椎椎管狭窄、C5/6椎体融合
患者李某,70岁,因“四肢乏力、行走不稳1年,加重1个月”入住新利备用网骨科二区,入院检查诊断为:脊髓型颈椎病、颈椎椎管狭窄症(C3/C4极重度)、慢性不完全性四肢瘫。其中C3/4节段椎管占位率超过50%以上,脊髓受压极其严重,若病情继续进展,可能导致高位截瘫甚至呼吸衰竭,危及生命。且李某还存在C5、6节段先天性融合,短颈畸形,进一步增加了术中暴露和置钉的难度,对主刀医生的经验、技术及团队配合要求极高。




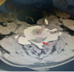
术后复查显示内固定位置良好、椎管减压充分,患者自觉症状明显缓解
为确保手术成功,骨科二区专家团队与湘雅三医院苗惊雷教授紧密协作,在麻醉科和手术室的配合下,成功为患者实施颈前路椎间盘切除术+椎管扩大减压术+植骨融合内固定术,患者术后即感四肢肌力明显改善,目前恢复良好,已顺利出院。
此次颈椎前路椎间盘融合术的成功实施,是新利备用网与湘雅三医院脊柱外科专科联盟的缩影。通过资源下沉与学科共建,县域脊柱诊疗能力显著提升,患者无需辗转外地,在“家门口”就能享受省级三甲医院同质化医疗服务,省去奔波之累,减轻就医负担。

